Impactos da Febre Amarela: Novas Descobertas sobre Complicações e Mortalidade
A febre amarela, uma doença hepática conhecida, não afeta apenas o fígado. Em sua fase aguda, a doença pode impactar órgãos vitais como rins, coração, cérebro e pulmões.
Um estudo realizado por pesquisadores da Universidade de São Paulo (USP) e da Universidade de Wisconsin-Madison revelou insights sobre a progressão de casos graves de febre amarela. Durante esses casos, frequentemente associados a complicações fatais, foi observado que a hemorragia na mucosa intestinal permite que bactérias do intestino entrem na corrente sanguínea, resultando em uma infecção sistêmica conhecida como sepse. Essa condição agrava o quadro clínico desencadeado pelo vírus.
Os pesquisadores identificaram que o dano gastrointestinal é um elemento crucial que diferencia casos fatais de tratáveis, indicando que novas estratégias de tratamento podem se concentrar na prevenção da sepse bacteriana. Os achados foram publicados no Journal of Infectious Diseases.
Leia Também
Isquemia Mesentérica e Resposta Imunológica
De acordo com Esper Kallás, professor da FM-USP e membro do estudo, a redução do suprimento sanguíneo no intestino, denominada isquemia mesentérica, resulta na passagem de bactérias da microbiota intestinal para a corrente sanguínea em pacientes com formas graves da doença. Essa translocação bacteriana gera um aumento dos neutrófilos no sangue, que são glóbulos brancos essenciais para a defesa contra infecções.
O Aumento dos Neutrófilos como Indicador Crítico
Kallás e sua equipe, vinculados ao Laboratório de Alergia e Imunopatologia Clínica da FM-USP, notaram que pacientes com febre amarela apresentando altos níveis de neutrófilos tinham maior taxa de mortalidade. Essa constatação levou a um novo entendimento sobre o papel dos neutrófilos, frequentemente associados a infecções bacterianas, em um contexto de infecção viral.
Biomarcador Promissor: I-FABP
Mateus Vailant Thomazella, orientado por Kallás, de forma a evidenciar potenciais biomarcadores, analisou amostras de plasma de 90 pacientes com febre amarela grave. A pesquisa revelou que a I-FABP (proteína ligadora de ácidos graxos intestinal) é um marcador relevante para danos intestinais. Pacientes que vieram a óbito apresentaram níveis significativamente mais altos dessa proteína, sugerindo sua função como um biomarcador crítico na avaliação do prognóstico da doença.
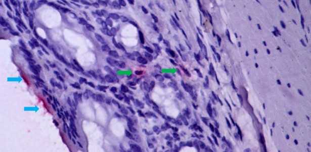
Descobertas nas Autópsias e Modelos Experimentais
O professor Amaro Nunes Duarte, do Departamento de Patologia da FM-USP, conduziu autópsias durante a epidemia de 2018-2019 em São Paulo, onde observou hemorragias na parede intestinal e isquemia. Essas descobertas, inicialmente vistas como impressões anatômicas, foram confirmadas após análises que evidenciaram lesão vascular, permitindo a translocação bacteriana e agravando os danos causados pelo vírus.
Colaborando com Adam Bailey da Universidade de Wisconsin-Madison, foram utilizadas análises em um modelo experimental com hamsters infectados, revelando processo semelhante ao humano. Essas evidências sustentam a hipótese de que a translocação bacteriana é uma progressão crítica em casos graves de febre amarela.
Conclusão e Próximos Passos
Os pesquisadores pretendem explorar também amostras de pulmões de pacientes fatais para compreender melhor os efeitos da translocação bacteriana em diferentes órgãos. Esses estudos oferecem novas perspectivas para o tratamento e manejo de casos graves de febre amarela, destacando a importância da pesquisa multidisciplinar para avanços na saúde pública.
Para mais informações, consulte o artigo completo: Mesenteric ischemia and bacterial translocation precipitate the intoxication phase of yellow fever.
Informações da Agência FAPESP

