Utilizando uma técnica de sequenciamento de células únicas, pesquisadores brasileiros construíram o primeiro atlas celular da displasia cortical focal (DCF) – uma malformação do córtex cerebral que leva à epilepsia resistente a medicamentos. Esses casos são registrados principalmente em crianças e adolescentes, respondendo por até 50% das cirurgias de epilepsia nessa faixa etária.
Com o atlas foi possível caracterizar os diferentes tipos de células presentes na lesão cerebral, determinando quais estão envolvidas na doença. O resultado abre caminhos para o desenvolvimento de novos tratamentos específicos voltados a esse tipo de displasia.
Até hoje os mecanismos moleculares responsáveis por crises de epilepsia em pacientes com DCF são pouco compreendidos. Pessoas com casos graves chegam a ter entre 40 e 50 crises por dia, com perda de sentido e queda. Quando os medicamentos são ineficazes para controlá-las, a opção é a cirurgia, que também pode acarretar riscos, como sequelas na visão, audição e fala.
Leia Também
Em estudo publicado na revista iScience, os pesquisadores conseguiram mapear em resolução celular tanto as alterações transcrionais – envolvidas no processo de conversão do DNA em RNA mensageiro (a “receita” para a produção de proteínas) – quanto epigenéticas (modificam a expressão gênica por meio de processos bioquímicos, sem alterar a sequência do DNA). Esses mecanismos regulam a forma como os genes são ativados ou desativados para produzir proteínas e outras moléculas funcionais, a chamada expressão gênica.
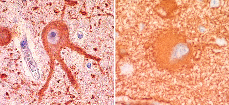
Além disso, o estudo apontou subpopulações de neurônios, micróglias e astrócitos envolvidas na doença. Esse conjunto de células forma o córtex cerebral e garante o funcionamento, a proteção e a adaptação do sistema nervoso.
A pesquisa identificou uma população neuronal específica nos pacientes com DCF caracterizada pela expressão do neurofilamento NEFM+ (uma proteína neural), que engloba os chamados neurônios dismórficos. Eles são células anormais encontradas no córtex desses pacientes, responsáveis pelas sinapses alteradas e causam as crises epilépticas.
Já em relação às micróglias (células do sistema imune localizadas no cérebro) foram descobertas duas subpopulações, denominadas CD74+ e CD83+. Elas podem estar ligadas à ativação do sistema imunológico e à neuroinflamação.
“Utilizando uma técnica avançada de gênomica, obtivemos uma visão em nível celular e, portanto, extremamente detalhada dessa malformação do cérebro. Identificamos profundas alterações celulares no córtex desses pacientes, incluindo a perda de neurônios nas camadas superiores, além de astrócitos imaturos e populações de micróglias expandidas nas lesões e associadas à inflamação. Esse atlas celular é de grande importância para entender os mecanismos e buscar terapias específicas, podendo ter como alvo as células identificadas”, explica o biólogo computacional Diogo Veiga, autor correspondente do artigo.
Pesquisador da Faculdade de Ciências Médicas da Universidade Estadual de Campinas (FCM-Unicamp), Veiga integra a equipe do Instituto Brasileiro de Neurociência e Neurotecnologia (BRAINN), um Centro de Pesquisa, Inovação e Difusão (CEPID) financiado pela FAPESP.
No trabalho, iniciado em 2021, o grupo gerou um conjunto de dados compreendendo 61.525 células únicas de 11 amostras clínicas de lesões de displasia cortical focal obtidas de pacientes submetidos a cirurgias e de controles. O sequenciamento de célula única (single-cell) é uma técnica avançada de biologia molecular e permite a análise do material genético (DNA ou RNA) individualmente, proporcionando uma visão detalhada da heterogeneidade celular e revelando características muito mais específicas das lesões estudadas.
Um dos desafios foi analisar a quantidade de dados. “Passamos um bom tempo desenvolvendo o workflow computacional e testando diferentes abordagens para conseguir identificar estas subpopulações associadas à doença”, diz Veiga, que destaca a contribuição de sua orientanda de doutorado Isabella Cotta Galvão, primeira autora do artigo.
O trabalho foi apresentado em eventos nacionais e internacionais, entre eles no simpósio Human Cell Atlas Latin America, realizado em julho de 2024, envolvendo pesquisadores na área de genômica de células únicas.
Para ampliar o conhecimento sobre o tema no Brasil, as pesquisadoras Iscia Lopes-Cendes e Jaqueline Geraldis, ambas da FCM-Unicamp e autoras do artigo, organizaram em novembro último o evento Single-Cell Omic Fusion: Navigating Spatial Omics in Biomedical Research. O workshop marcou o lançamento da Single-Cell e Spatial Omics Brasil, uma comunidade científica dedicada a fomentar a colaboração e o avanço desse campo no país.
Doença neurológica sem cura, a epilepsia afeta cerca de 50 milhões de pessoas no mundo, segundo a Organização Mundial da Saúde (OMS). Estima-se que no Brasil sejam 2 milhões de registros. No ano passado, o maior estudo já publicado sobre o assunto no mundo revelou uma espécie de “arquitetura genética” da doença, identificando 26 áreas do genoma ligadas ao distúrbio. O Brasil foi o único representante da América Latina por meio do BRAINN.
Próximas fases
Os resultados do estudo foram incluídos no banco de dados celular CellxGene, que faz parte do consórcio Human Cell Atlas. Criado em 2016, o consórcio tem mais de 3 mil integrantes em 99 países, reunindo biólogos, clínicos, tecnólogos, físicos, cientistas computacionais, engenheiros de software e matemáticos.
Com isso, outros grupos podem aproveitar esses dados em suas pesquisas e tentar encontrar tratamentos mais direcionados à displasia cortical focal. “Esse tipo de compartilhamento de dados é hoje essencial para acelerar o avanço das pesquisas médicas. Estamos disponibilizando dados gerados com dinheiro público, retornando o investimento da sociedade para benefício de todos”, afirma Lopes-Cendes.
Segundo Veiga, seu grupo está agora usando a mesma técnica de célula única para estudar o desenvolvimento do cérebro infantil, além de um outro tipo de displasia, com o objetivo de detectar eventuais similaridades.
A pesquisa também recebeu apoio da FAPESP por meio de outros quatro projetos. O artigo Multimodal single-cell profiling reveals neuronal vulnerability and pathological cell states in focal cortical dysplasia pode ser lido em www.cell.com/iscience/fulltext/S2589-0042%2824%2902562-8.
Informações da Agência FAPESP

